Mutações
Mutações génicas | Mutações cromossómicas |
As mutações génicas alteram a sequência de nucleótidos do DNA, por substituição, adição ou remoção de bases. Estas mutações podem conduzir à modificação da molécula de mRNA que é traduzida a partir do DNA e que consequentemente leva à produção de uma proteína alterada. |
As mutações cromossómicas são uma alteração da estrutura ou do número de cromossomas. Afetam uma determinada região de um cromossoma, um cromossoma inteiro ou todo o complemento cromossómico de um individuo. |
As mutações cromossómicas podem dividir-se em poliploidias (existe pelo menos um conjunto completo de cromossomas a mais, levando, no caso dos humanos, ao não desenvolvimento dos embriões com aborto espontâneo) e as aneuploidias, (existem cromossomas a mais ou a menos em relação ao número normal, levando à existência de uma síndrome, onde existe um excesso ou falta de parte da informação genética).
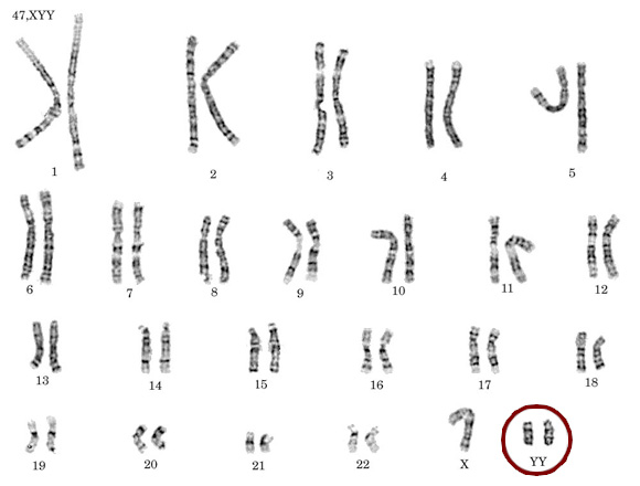
Síndrome de Jacobs
História
A Síndrome de Jacobs foi descoberta nos Estados Unidos, em 1961 por Sandberg, e é caracterizada por uma alteração nos cromossomas sexuais quando um indivíduo do género masculino tem uma cópia extra do cromossoma Y. Também é designada como trissomia XYY, aneuploidia 47,XYY ou síndrome do super-homem.
Esta descoberta surgiu quando o paciente de Sandberg tinha 44 anos e era pai de 6 filhos de 2 casamentos. Dois dos filhos, apresentavam anomalias, uma filha tinha Síndrome de Down e outra não apresentava órgãos sexuais internos.
Síndrome


- Crescimento ligeiramente acelerado na infância, sendo normalmente, pessoas de estatura elevada;
- Anomalias dos órgãos sexuais;
- Elevação do nível de testosterona;
- Diminuição do volume cerebral;
- QI ligeiramente abaixo do normal;
- Dentes e glabela (espaço entre as sobrancelhas) salientes;
- Mãos e pés compridos e orelhas longas;
- Maior risco de linfomas, leucemia, criptorquidia (quando não existiu uma correcta descida dos testículos da cavidade abdominal para o escroto) e hipospádias (malformação congénita na uretra);
- Agressividade e impulsividade;
- Dificuldade em controlar as emoções e em relacionar-se com as pessoas;
- Distúrbios na coordenação motora e na linguagem.

Como quase todas as doenças genéticas, não existe cura para a Sindrome de Jacobs.